Your child has been diagnosed with a buckle injury. This information leaflet helps to explain what a buckle injury is and how it is treated.
What is a buckle injury?
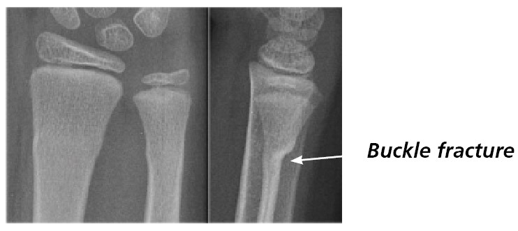
A buckle injury is a type of injury where the bone has been squashed. Children and young people’s bones are softer than adults. When they have an injury to the bone, the bone is more likely to be squashed than broken following the accident. This can result in a bump in the bone, as opposed to a clear break. (See images).
The injury is treated as a sprain. They heal very well on their own and have no long-term complications.
What does a buckle injury look like?

Treatment
Buckle injury heal very well on their own and do not require any specific treatment.
There has been a recent large study in the UK, called the FORCE study, that has researched how best to treat buckle injuries.
It showed that children who were offered bandages for their buckle sprain healed well and as comfortably as those with a splint. Some of the participants chose not to wear either a bandage or a splint and their injuries also healed well.
Most children will start to use their injured wrist easily and comfortably within a couple of weeks. They can use their wrist and hand as much as they like, as long as it doesn’t cause them any pain.
Does my child need a wrist support?
Your child will be offered a splint or a bandage to put on their wrist injury. Parents are able to choose their preferred option.
The splint and bandage are offered to help the wrist feel more comfortable. The bandages and splint can be removed for washing the wrist. It is important to fully dry the injured arm before re-applying.
The splint or bandage can be worn for up to 3 weeks. It can be removed before this time if the child is pain free.
If your child will not wear/tolerate a bandage or a splint that is OK. The buckle injury will heal well by itself. The splint/bandage is there to help with discomfort from the injury, not the help with the healing process.
Does my child need a cast?
We do not offer casts/pots for children with a buckle injury.
Do I need to do anything else for the injury when I am at home?
Your child may have some discomfort in their wrist for the first few days after a buckle injury. The pain should get better after this time. There may also be some swelling at the site of the injury, but this will also improve with time.
You can give your child simple pain relief during this period e.g. Calpol/paracetamol that can be accessed at pharmacists and most supermarkets.
When should you return to sport or PE?
Your child can to return to their usual sporting activities as soon as the pain and discomfort improves.
Does my child need to be followed up in a clinic?
Your child does not need any hospital follow up for a buckle injury.
A specialist checks the XR of children who attend the ED department. If there are any other injuries that they are concerned about, you may get contacted via telephone to discuss this and any other additional treatment that may be needed.
When should I seek medical advise?
- If your child is in an extraordinary amount of pain
- If there is any tingling or altered sensation (pins and needles) in the wrist of the arm
Who do I contact if there are any problems?
Paediatric Emergency Department: (0113) 392 5549