Diagnostic clinics offer a safe and effective way of routinely monitoring many eye conditions. Improvements in technology mean that OCT scans and photographs taken of the back of the eye can be reviewed by your clinical team without the need to see a doctor during the appointment. Diagnostic clinics have been set up at Leeds Teaching Hospitals to help speed up access and to streamline your experience.
This clinic is dedicated to the care of patients with conditions affecting the retina – the area at the back of the eye responsible for creating vision.
What to expect when you attend an appointment
Currently, diagnostic clinics run at:
- The Eye Clinic, Level 4, Gledhow Wing, St James Hospital
- The Macula Centre, Eye Clinic, W Ward, Seacroft Hospital.
At your appointment you will be met by an Ophthalmic Technician who will take a brief eye history from you then help you through a series of tests including:
- Vision check
- Imaging of the back of your eye, including photographs and OCT scans. The images can usually be taken without the need for drops to enlarge your pupils. If drops are needed, this can impair your ability to drive for a few hours so you will be given a choice of having this done the same day or on another day.
Appointments usually take around 30 minutes to complete. Please note that you will not see a doctor at your appointment. If you have any worries or concerns about your vision, please tell the technician who will pass these on to the clinical team.
About the imaging
The scans and photographs taken at the appointment allow the clinical team to review the retina, the area at the back of the eye responsible for creating vision. A healthy retina is important for clear vision, and the imaging can help the clinic team to monitor the progression of many retinal conditions, plus the response to treatment.
All the imaging is quick, painless and non-invasive. Nothing will touch your eyes, although we may need to gently lift up your eye lids to get a good view. There is a bright flash as the photograph is taken.
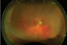
Retinal photographs allow us to look at the surface of the retina, which looks like this:

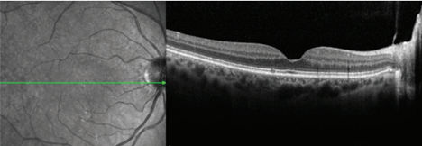
Retinal OCT allows us to assess the layers that make up the retina and looks like this:

What happens next?
Once these tests have been done, you are free to go home. You do not need to wait to see a doctor. Following your appointment, the clinical team will review your test results and you should receive a letter or telephone call with your results and follow up plan shortly afterwards (usually within 3 weeks).
Back to top