Dear Parent / Guardian,
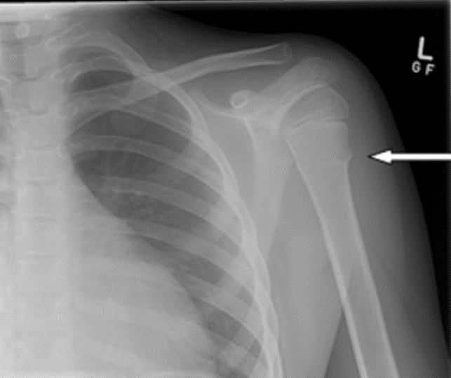
Your child has sustained a break (fracture) to the proximal humerus which is the arm bone close to the shoulder and the doctor has confirmed this.

Your doctor has reviewed your child’s x-rays today and confirmed this fracture is simple and undisplaced.
This fracture will heal well in approximately four weeks. Your child should wear the collar and cuff provided in the Emergency Department for four weeks.

Your child should not push or lift heavy items for six weeks following the injury. They can, nevertheless, use their hand to feed themselves and wash their face as the pain allows.
We would advise to initially stop the collar and cuff at home and use it to go to school. After a few days, your child can discard the collar and cuff completely and go back to using the arm normally.
During this timeframe your child should keep their fingers and wrist moving and take the collar and cuff out to perform movements of the elbow (bend, straighten and rotational movements) to prevent stiffness.
Having some pain, tenderness, swelling and potentially bruising at the level of the fracture is normal. This will gradually settle over a few weeks. Your child may need simple painkillers such as Paracetamol (Calpol) or Ibuprofen (follow the dosage instructions) for the first few days after the injury, which can be bought from your local pharmacy or supermarket.
Your child can go back to nursery / school as soon as they feel comfortable and happy to do so. Sporting activities, physical education and trampolining should be avoided for another 6 weeks after removal of the collar and cuff and there is usually no need to follow-up with a further x-ray as these fractures heal well.
Your child does not need a follow-up appointment or a further x-ray and they will be discharged back to the care of your family doctor.
Dressing/cleaning and sleeping
Your child will find it easier to get dressed by putting their injured arm into the sleeve first, and then putting the shirt over the head and good arm.
To remove clothes, simply do the opposite: good arm out first and then the injured arm.
Your child may find sleeping upright with some extra pillows more comfortable for the first few weeks.
When to seek help
Contact your GP if your child’s condition is not improving, or if their pain relief is not adequate.
If your child’s condition is worsening (increased pain, swelling, pins and needles or numbness) call Children’s Orthopaedics Nurse Specialist Team (tel. number can be found below).
If you are really concerned and it’s late in the day or during the weekend, please go back to the Emergency Department.
Useful contact numbers
If you have any questions or concerns, please contact: